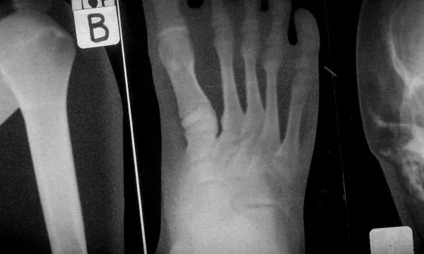
an x-ray of a foot

Bodyworks

Students learn about their bodies, using digital microscopes, real x-rays, and turn their classmates inside out!

search icon

Allergens

group icon

Workshop

Book now

Bodyworks KS1/Lower KS2 

Duration: 1 hour, max capacity: 35 students  

An exciting workshop where students learn more about the insides and outsides of their own amazing bodies, use digital microscopes, diagnose broken bones with real x-rays, and turn their classmates inside out!

 

Key Words:

Human body, Organs, Microscopes, Investigation, X-rays, Senses, MRI.

 

Learning objectives

KS1:

Understand the location and function of the senses.

KS1 & Lower KS2:

Promote an interest in human biology and how the body works.

Identify some key human organs and their functions.

Handle and use a digital microscope to make observations.

Understand the functions of major organs and place organs in the correct place on an “organ tunic”.

Examine real x-rays and identify the bones of the human skeleton (including broken and fractured bones - KS2).

Lower KS2:

Understand how equipment and techniques (such as x-rays, MRI scans and microscopes) can help us learn about the human body.

 

Content:

KS1:

Explore their senses with a mystery object. 

KS1 & Lower KS2:

Examine features of the human body, such as skin, teeth, ears and nose with a digital microscope.

Identify and name the bones of the human skeleton (including where bones are broken - KS2).

Label the organs of the human body with their names and functions.

Identify the correct place for each organ on a model of a human body.

Lower KS2:

Discuss the functions of the different parts of the human body – tissues, organs and bones.

Investigate the features of the human body that can be seen using an MRI scan.

 

Curriculum Links:             

Year 1: Animals, including humans Identify, name, draw and label the basic parts of the human body and say which part of the body is associated with each sense.

Year 1 & 2: Working scientifically Asking simple questions and recognising that they can be answered in different ways.

Year 1 & 2: Working scientifically Observing closely, using simple equipment.

Year 1 & 2: Working scientifically Using their observations and ideas to suggest answers to questions.

 

Year 3: Animals, including humans Identify that humans and some other animals have skeletons and muscles for support, protection and movement

Year 4: Animals, including humans Describe the simple functions of the basic parts of the digestive system in humans

 

Potential Hazards

Citrus allergen warning